What does an Prosthodontist do?
A prosthodontist is a dentist who deals with the restoration and aesthetic adjustments of teeth and oral structures. These specialists improve patients’ oral health and aesthetics by replacing missing or damaged teeth with dentures, bridges, crowns and implants.
What is Prosthodontics?
Prosthodontics is a specialty of dentistry that focuses on restoring and replacing teeth. This includes procedures such as dental implants, dentures, bridges and crowns. We also deal with oral rehabilitation after trauma or surgery. The aim is to restore function and appearance and thus improve the patient’s overall quality of life.
The Training of a Prosthodontist
To become a prosthodontist, it is first necessary to complete dental school, followed by additional specialized training. This usually involves a three-year residency program where we learn advanced techniques in restoring and replacing teeth. This comprehensive training prepares us to tackle complex dental problems.
Creating Treatment Plans
Once we have a clear diagnosis, we create a detailed treatment plan. This plan outlines the steps needed to restore the patient’s teeth and includes timelines and costs. The treatment plan is tailored to meet the specific needs of each patient. This individualized approach ensures that the results are both functional and satisfying.
The prosthodontist
treats patients in 3 stages
Comprehensive Dental Assessment
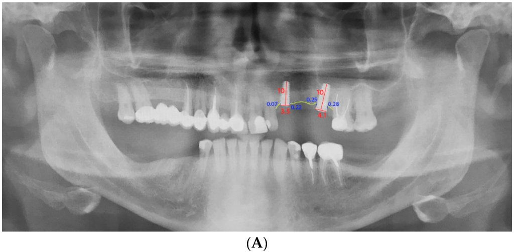
As a prosthodontist, I first review the patient’s dental history and perform a thorough oral examination. This process is important to gather information about the patient’s dental health and specific problems with missing or damaged teeth. If necessary, diagnostic tests and imaging studies such as X-rays or CT scans may also be performed for a comprehensive diagnosis.
Personalized Treatment Planning
In the second step, I develop a treatment plan tailored to the patient’s dental condition, which may include options such as dental implants, dentures, bridges or crowns, along with any necessary preparatory treatments. The treatment plan is customized to the patient’s needs and aesthetic goals, ensuring both functional and visual restoration.
Ongoing Care and Adjustments
Finally, I monitor the patient’s response to the treatment and make any necessary adjustments. Through regular follow-up visits, the fit and function of the prosthetic appliances are evaluated and necessary modifications are made. This process is critical to ensure the long-term success of the dental restoration and to maintain the patient’s overall oral health.




Coordinated care
with Prosthodontists
Dental implants are one of the most popular solutions for missing teeth. These are artificial tooth roots placed into the jawbone, onto which replacement teeth are mounted. Implants provide a strong foundation for fixed or removable replacement teeth that are made to match your natural teeth. According to the American College of Prosthodontists, dental implants are a reliable and durable solution for tooth loss.
Dentures
and bridges
Dentures and bridges are common alternatives for patients who are not implant candidates. Dentures are removable replacements for missing teeth and surrounding tissues, while bridges are fixed prosthetic devices that are bonded to existing teeth or implants. Both options help restore the ability to eat and speak properly, which is essential for overall health.
Blog
How to Adjust to New Dentures Without Daily Discomfort
Getting new dentures marks a meaningful change, both physically and emotionally. Many people expect instant comfort, yet the adjustment period often surprises them. Sensations feel different, speech may sound unusual,[…]
Read moreWhat Makes a Good Candidate for Full Arch Implants?
Choosing the right candidate for full arch implants requires understanding several personal, medical, and lifestyle factors because this advanced treatment demands stable oral health, strong bone support, and realistic expectations,[…]
Read moreHow Technology Is Changing Prosthetic Dentistry
Digital innovation now shapes prosthetic dentistry by improving precision, enhancing comfort, reducing treatment times, and offering patients reliable solutions that align better with natural function and long-term oral health needs.[…]
Read moreUnderstanding Bone Loss and Its Impact on Prosthetics
Have you ever wondered why two people using the same type of prosthetic device can have completely different experiences with comfort and stability? Many patients ask this question when they[…]
Read moreWhat Is a Cantilever Bridge and When Is It Used?
You scrub for a procedure and think about access. A clear field matters, and timing matters too. Bridge engineers face similar constraints daily. They must cross obstacles without stopping what[…]
Read moreDo You Really Need a Crown After a Root Canal?
The immediate cessation of throbbing pain after a root canal procedure often leads to a false sense of finality regarding the treated tooth. Patients leave the endodontist’s office with a[…]
Read moreHow to Clean and Maintain Your Dentures Properly
The process of caring for a denture, whether a partial or a complete set, transcends the simple act of scrubbing. It is a necessary, detailed ritual that dictates the longevity[…]
Read moreHow Natural Can Today’s Prosthetic Teeth Really Look?
The fundamental question of Can prosthetic teeth look natural? has shifted from a matter of mere functional replacement to a complex interplay of material science, digital planning, and highly personalized[…]
Read moreThe Psychological Benefits of Restored Smiles
The act of restoring a smile often transcends the purely clinical domain of dental health, delving deeply into the psychological and social architecture of an individual’s life. The appearance and[…]
Read more