How to Adjust to New Dentures Without Daily Discomfort
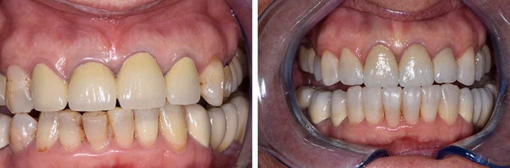
Getting new dentures marks a meaningful change, both physically and emotionally. Many people expect instant comfort, yet the adjustment period often surprises them. Sensations feel different, speech may sound unusual, and eating requires patience. These reactions are normal and temporary. Understanding what lies ahead makes the transition smoother. Why new dentures feel strange at first…
Read more
