
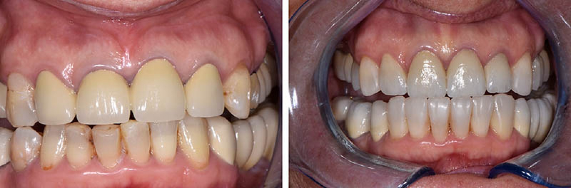
The loss of an anterior tooth—any of the incisors or canines visible during speech and smiling—is not merely a minor functional inconvenience; it constitutes a profound psychological and social disruption. Unlike the strategic concealment afforded by the loss of a posterior molar, a gap in the front dental arch is immediately and inescapably apparent, directly impacting the patient’s phonetics, their ability to tear and incise food, and, most critically, their self-perception and social confidence. The aesthetic demands placed upon any prosthetic replacement in this highly visible zone are arguably the most challenging in restorative dentistry. The replacement must not only occupy the missing space but must do so seamlessly, replicating the subtle interplay of natural tooth form, color gradient, surface texture, and, most complexly, the architecture of the surrounding gingival (gum) tissue. The success of the intervention is measured less by its technical longevity and more by its undetectability—the prosthetic should be indistinguishable from the adjacent natural dentition to the casual observer. This demanding requirement necessitates a careful, individualized consideration of the available prosthetic modalities, which range from fixed, surgical solutions to removable, less invasive options, each carrying distinct biological, financial, and procedural implications.
The Aesthetic Demands Placed Upon Any Prosthetic Replacement in This Highly Visible Zone Are Arguably the Most Challenging in Restorative Dentistry
The aesthetic demands placed upon any prosthetic replacement in this highly visible zone are arguably the most challenging
The single-tooth dental implant represents the zenith of contemporary restorative options for replacing a missing anterior tooth, due to its capacity to address both the aesthetic and the fundamental biological deficit. Unlike traditional prostheses which rely on neighboring teeth for support, the implant involves the surgical placement of a titanium or zirconia fixture directly into the alveolar bone, mimicking the root of the natural tooth. This integration process, known as osseointegration, not only provides unparalleled stability for the final crown but also actively preserves the underlying bone volume. Crucially, the presence of the implant stimulus prevents the progressive bone resorption and corresponding gingival recession that inevitably follow tooth loss, maintaining the structural foundation essential for long-term aesthetic harmony. However, achieving an optimal aesthetic outcome requires rigorous attention to detail, particularly in three dimensions: placing the implant fixture at the correct mesiodistal, buccolingual, and apicocoronal depth to allow the restorative dentist to craft a crown that guides the surrounding gum tissue into a natural, scalloped contour.
The Single-Tooth Dental Implant Represents the Zenith of Contemporary Restorative Options for Replacing a Missing Anterior Tooth, Due to Its Capacity to Address Both the Aesthetic and the Fundamental Biological Deficit
The single-tooth dental implant represents the zenith of contemporary restorative options
When the underlying bone or soft tissue is deficient, which is a frequent occurrence following traumatic tooth loss or delayed replacement, the path to a successful implant-supported restoration requires preliminary site development. A common challenge is a buccolingual (horizontal) bone defect, where the facial plate of bone that originally supported the tooth root has receded, leading to a visible depression or concavity. Addressing this often necessitates bone grafting procedures, such as a guided bone regeneration (GBR) technique, where bone substitutes or autogenous bone are placed beneath a barrier membrane to encourage new bone formation. Furthermore, the volume and texture of the keratinized gingiva—the thick, immobile gum tissue—are equally vital for creating a natural-looking emergence profile for the crown. Soft tissue grafting, often involving the transposition of tissue from the patient’s palate, may be required to augment the gum line, ensuring the prosthetic tooth does not appear excessively long or result in visible dark triangles (black triangles) near the gum line, an aesthetic failure that is particularly noticeable in the anterior arch.
Addressing This Often Necessitates Bone Grafting Procedures, Such As a Guided Bone Regeneration (GBR) Technique, Where Bone Substitutes or Autogenous Bone Are Placed Beneath a Barrier Membrane
Addressing this often necessitates bone grafting procedures
For patients for whom implant surgery is contraindicated—perhaps due to systemic health issues, limited bone volume that cannot be grafted, or financial constraints—the fixed dental bridge (FDB) remains a traditional, time-tested option. A conventional FDB replaces the missing tooth by using the two adjacent teeth (the abutments) as anchors. These abutment teeth must be invasively prepared (ground down) to receive crowns, which are fused to the prosthetic replacement tooth (the pontic) that spans the gap. While providing a fixed, non-removable solution that is generally stable and comfortable, this approach carries a significant biological cost: the permanent alteration of potentially healthy, virgin tooth structure. Furthermore, FDBs do not stimulate the underlying bone, meaning bone resorption continues beneath the pontic over time, potentially leading to a noticeable aesthetic defect and creating a space that is difficult to keep clean, increasing the risk of decay in the abutment teeth.
A Conventional FDB Replaces the Missing Tooth by Using the Two Adjacent Teeth (The Abutments) As Anchors
A conventional FDB replaces the missing tooth by using the two adjacent teeth
A less destructive variation of the fixed bridge, particularly suitable for replacing a single, small anterior tooth, is the resin-bonded fixed partial denture (RBFPD), often known as a Maryland bridge. This device avoids the extensive grinding of the abutment teeth; instead, the replacement tooth is held in place by metal or ceramic wings that are bonded to the lingual (tongue side) surfaces of the adjacent teeth. The primary advantage of the RBFPD is its minimal invasiveness, preserving the labial (lip side) enamel and tooth structure. However, this method is fundamentally reliant on the strength of the adhesive bond and the sheer forces exerted during function. RBFPDs are notably susceptible to debonding (coming unglued) over time, particularly with heavy biting forces, and the long-term prognosis is often less predictable than conventional bridges or implants. Furthermore, the metal wings, or even the underlying opaque ceramic, can sometimes show through the thin anterior teeth enamel, causing a subtle graying that compromises the aesthetic goal.
The Primary Advantage of the RBFPD Is Its Minimal Invasiveness, Preserving the Labial (Lip Side) Enamel and Tooth Structure
The primary advantage of the RBFPD is its minimal invasiveness
The most immediate and least invasive option for managing a missing anterior tooth, often used as a temporary measure or for long-term situations where other options are unfeasible, is a removable partial denture (RPD), such as a flipper or a flexible partial. These prostheses are typically fabricated from acrylic or a nylon resin and utilize metal or gum-colored clasps to grip the remaining natural teeth for retention. The primary benefits are their low cost and the absence of any need to modify adjacent teeth. However, RPDs are inherently compromises, often lacking the stability required for comfortable function and carrying a higher risk of gingival irritation due to the movement and coverage of the gum tissue. Aesthetically, the clasps can sometimes be visible, and the bulky nature of the appliance can interfere with normal speech patterns, requiring a period of adaptation. For an anterior replacement, the RPD provides essential presence but often falls short of achieving true integration into the smile line.
Aesthetically, the Clasps Can Sometimes Be Visible, and the Bulky Nature of the Appliance Can Interfere With Normal Speech Patterns, Requiring a Period of Adaptation
Aesthetically, the clasps can sometimes be visible
Regardless of the chosen prosthetic modality—implant, fixed bridge, or removable partial—the successful aesthetic outcome hinges on the meticulous process of shade matching and material selection. The color of a natural tooth is a complex phenomenon involving multiple layers of translucency, opacity, and fluorescence, which is profoundly difficult to replicate artificially. The prosthetic crown must be fabricated to match the hue, chroma, and value of the adjacent teeth, requiring the skilled eye of both the clinician and the dental ceramist. Furthermore, the material chosen must interact correctly with light; all-ceramic materials, such as lithium disilicate or layered zirconia, are preferred in the anterior zone over porcelain-fused-to-metal (PFM) restorations because ceramics allow for the necessary light transmission and reflection, minimizing the opaque, lifeless appearance often associated with underlying metal substructures. Achieving this visual harmony necessitates digital imaging, precise shade guides, and often a clinical appointment where the ceramist directly assesses the patient’s existing dentition.
The Prosthetic Crown Must Be Fabricated to Match the Hue, Chroma, and Value of the Adjacent Teeth, Requiring the Skilled Eye of Both the Clinician and the Dental Ceramist
The prosthetic crown must be fabricated to match the hue, chroma, and value of the adjacent teeth
The long-term prognosis of any prosthetic replacement is inextricably linked to the patient’s commitment to oral hygiene and maintenance. Fixed restorations, such as bridges and implants, require specific cleaning protocols to prevent complications. For an FDB, patients must utilize floss threaders or interdental brushes to meticulously clean beneath the pontic where the natural bone has resorbed. For a dental implant, specialized soft brushes and non-metal instruments are necessary to clean the surface of the implant fixture below the gum line to prevent peri-implantitis, a condition analogous to periodontal disease that can lead to bone loss and eventual implant failure. Failure to commit to these specialized regimens, which are more involved than simple brushing and flossing, will inevitably compromise the longevity of the restoration and the health of the surrounding tissues, regardless of how perfectly the restoration was initially placed and fabricated.
Failure to Commit to These Specialized Regimens, Which Are More Involved Than Simple Brushing and Flossing, Will Inevitably Compromise the Longevity of the Restoration
Failure to commit to these specialized regimens
Given the range of available options and their highly divergent characteristics, the treatment decision-making process must be a comprehensive, shared endeavor between the patient and the restorative team. It is a process of balancing the patient’s aesthetic expectations, functional needs, systemic health status, bone anatomy, financial resources, and commitment to maintenance. For instance, a young, healthy patient with excellent bone quality might find the long-term biological and aesthetic superiority of a single-tooth implant to be the only acceptable option, despite the higher initial cost and longer treatment timeline. Conversely, an older patient with compromised systemic health and limited resources might prioritize the speed and non-invasiveness of an RPD or a conventional bridge. The clinician’s role is to present a truthful, unbiased risk-benefit analysis for each pathway, managing the patient’s expectations to ensure the final outcome is not merely technically sound but emotionally fulfilling.
The Treatment Decision-Making Process Must Be a Comprehensive, Shared Endeavor Between the Patient and the Restorative Team
The treatment decision-making process must be a comprehensive, shared endeavor
Ultimately, the goal in replacing missing anterior teeth transcends merely filling a void; it is a restoration of the patient’s integral aesthetic identity and functional capacity. The best treatment is the one that is biologically sustainable, functionally robust, and aesthetically invisible within the context of the patient’s smile line. This ideal often aligns with the gold standard of the osseointegrated dental implant, which uniquely addresses the bone loss and provides a foundation for the most lifelike crown emergence. However, clinical reality demands flexibility, and a high level of patient satisfaction can be achieved with fixed or even removable alternatives when the patient selection is appropriate and the limitations of the chosen prosthetic are clearly understood and accepted by all parties involved. The successful anterior prosthesis is the one that makes the patient forget they ever lost a tooth.